Zwahlen and Marshall Family Dentistry | Oral Exams, Dental Fillings and Dental Bridges

Dentistry Before and After Photos

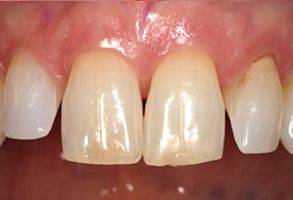
before

Before

Zwahlen and Marshall Family Dentistry | Sedation Dentistry, All-on-4 reg  and Extractions

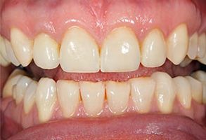
After

Zwahlen and Marshall Family Dentistry | Air Abrasion, Sedation Dentistry and Periodontal Treatment

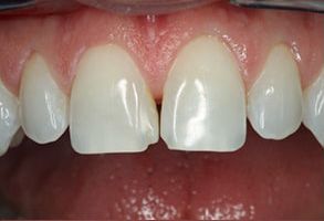
Before

Zwahlen and Marshall Family Dentistry | Sedation Dentistry, Extractions and Snoring Appliances

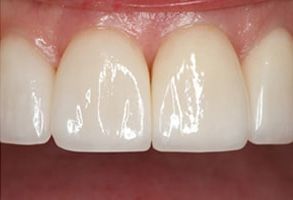
After

Zwahlen and Marshall Family Dentistry | Emergency Treatment, Air Abrasion and Digital Radiography

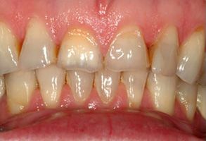
Before

Zwahlen and Marshall Family Dentistry | Air Abrasion, Dentures and Digital Radiography

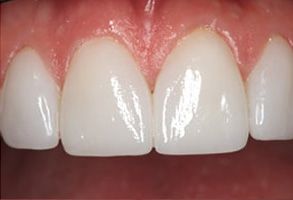
After

Zwahlen and Marshall Family Dentistry | Sleep Apnea, Oral Exams and Dental Fillings

Before

Zwahlen and Marshall Family Dentistry | Dental Fillings, Inlays  amp  Onlays and Sleep Apnea

After

Zwahlen and Marshall Family Dentistry | Implant Dentistry, Extractions and Root Canals

Before

Zwahlen and Marshall Family Dentistry | Pediatric Dentistry, Inlays  amp  Onlays and Teeth Whitening

After

Zwahlen and Marshall Family Dentistry | Sports Mouthguards, Dental Fillings and Night Guards

Before

Zwahlen and Marshall Family Dentistry | Veneers, Air Abrasion and Implant Dentistry

After

Zwahlen and Marshall Family Dentistry | Teeth Whitening, Inlays  amp  Onlays and Air Abrasion

Before

Zwahlen and Marshall Family Dentistry | Night Guards, Sedation Dentistry and All-on-6 reg

After

Schedule a visit today!
Contact Us
Submit

Thank You!

We appreciate you taking the time to visit our site. We'll review your message and be in touch with you soon.

Continue
Zwahlen and Marshall Family Dentistry | Dental Cleanings, Sports Mouthguards and Implant Dentistry